
黃斑點病變 [ Macular Degeneration ]
黃斑點區出現病變會影響了中心視力
黃斑點是視網膜中負責中央視力和分辨顏色的區域,是眼睛視力最敏銳的部分,令我們能夠看見細微的事物如穿針線和閱讀。黃斑點病變是指黃斑點區出現病變而影響了中心視力。此病是已發展國家中取常見的致盲眼疾,也是香港第三位的致盲殺手。
黃斑點病變一般可分為兩大類:
彈性和濕性。
「乾性」的黃斑點病變是指黃斑點區出現退化,一般不會嚴重影響視力,患者可以完全無徵狀。「乾性」比較常見,有85%的患者都屬此類。但「乾性」的黃斑點病變一旦惡化便會轉成「濕性」。「濕性」的黃斑點病變是由不正常的增生血管引起的。這些不正常血管會出現滲漏的情況,對中央視力造成嚴重和永久性的破壞。
治療方法:
1) 光動力治療法(Photodynamic Therapy)光動力治療的目的是封閉黃斑點區的異常血管。在進行光動力治療之前,患者要先接受眼底螢光血管造影檢查,以確定黃斑點的滲漏情況和位置。在接受光動力治療時,醫生會先替患者將光敏劑以靜脈注射,再以激光照射在黃斑點區,藉此把光敏劑活化,以堵塞視網膜下不正常的增生血管。由於光敏劑只會堵塞不正常的血管,周邊健康的組織不會受到直接影響。
在接受治療後的48小時內,患者要避免被強光直接照射。強光包括太陽光、太陽燈、射燈及醫療手術燈等。如要外出,應配戴防紫外光的太陽鏡和穿上長袖衣服,一般防曬用品及太陽油並不能提供足夠保護。接觸家用白光燈、光管、慳電謄及電視發出的光線是沒有問題的。
黃斑點病變視覺出現變形和扭曲情況
2) 玻璃體藥物注射(Intravitreal Injection)醫生會先替患者局部麻醉及進行消毒程序,接著使用極小的針頭將血管內皮生長素抑制劑(Anti-VEGF)注射到玻璃體內,令黃斑區內不正常的血管減低滲漏,以達到控制病情的效果。
如病情需要,醫生可能建議進行混合治療(即光動力治療和眼內注射同時進行),以提高治療成效。視乎病情和治療後的反應,有需要的話可能需要重復治療。
以上治療有機會減緩患者視力衰退的速度和穩定視力,有部分患者的視力甚至會得到一定程度的提升。
預防黃斑點病變
由於暫時沒法根治黃斑點病變,所以預防是最好的方法。
- 戒煙
- 多吃綠色蔬菜和新鮮水果,少吃高飽和脂肪及高膽固醇的食物
- 服用抗氧劑(維生素A,C,E及礦物質,如鋅,可延慢黃斑點病變的衰退)
- 避免直視陽光和佩戴防紫外光的太陽眼鏡
定期到眼科醫生檢查,確保眼睛健康
阿姆斯勒方格表
若懷疑患上黃斑點病變,可進行以下測試作初步診斷:
(
阿姆斯勒方格表 )
- 測試時要有充足和平均的光線,並把方格表放在視平線30厘米之距離
- 如有老花或近視人士,需配戴原有的眼鏡進行打測試
- 用手蓋著左眼,右眼凝視方格表中心黑點
重複步驟1至3檢查左眼
中央位置或會出現變形和扭曲情況
當凝視中心黑點時,如發現方格表中心區出現空缺或曲線,便可能是眼底出現毛病的徵兆,請盡快作詳細檢查。
及早診斷及接受適當治療可以控制及減慢病情惡化,避免永久性視力受損及失明。
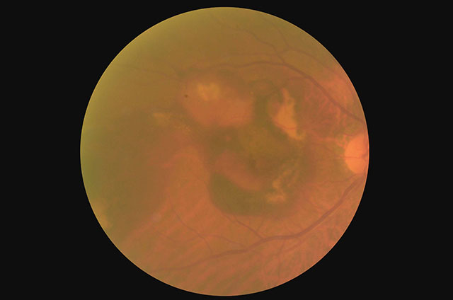
黃斑點區的異常血管
黃斑點病變和以下因素有關:
1.年齡(65-74歲發病率約一成;75-85歲發病率約三成)
2.吸煙
3.高血壓
4.家族遺傳
5.長時間曝露於紫鯡光下
6.缺乏均衡營養
黃斑點病變的病徵:
- 中央視力變得矇糊
- 分辨顏色出現問題
- 景物出現變形或扭曲
- 景物中心發黑、出現黑洞或空缺
Anna 醫護研習組
有關:
陳凱怡醫生
黃斑點病變
的診療事宜有任何疑問
相關專業團隊隨時為你作解答安排
以上資料只供參考,不能作診症用途,
請與家庭醫生查詢並作出適合治療.
如身體不適請即睇醫生,切勿延誤治療。
如有錯漏請提出糾正,我們會盡快跟進,
本站恕不會負任何責任