倒及牙想箍牙?一招教分何謂「假倒及」!
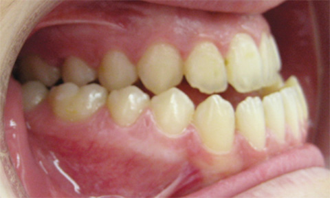
有不少人為了可以擁有一口整齊美觀的牙齒而選擇箍牙,當中較為常見的箍牙成因便是「倒及牙」。所謂的倒及牙,是指患者在咬合時下顎牙齒較上顎牙齒更突出,在外表上看來形成俗稱的「鞋揪面」。香港目前有14%人患有倒及牙問題,可見倒及牙的情況並不罕見,但大家又知不知道,原來倒及牙都難分真與假,以下會教大家一招自我檢測方法,可以分辨出你的倒及牙是真是假!
倒及牙有得救?先要了解三大倒及牙類別
倒及牙除了影響患者儀容外,長遠更令他們不能利用門牙作咬斷食物的功能,並會因為太過依賴後排牙齒進行咀嚼而令後排牙齒容易磨蝕,甚至出現裂痕。倒及牙大致可分為三大類,第一是「顎骨性倒及牙」,患者的下顎牙骨相對較長及向前生,令側面看起來下巴較上顎突出較多,形成俗稱的「鞋揪面」。
第二種是「牙齒性倒及牙」,患者的下顎牙骨正常,但下顎牙齒在咬合時較上顎牙齒更為突出。
第三種是「假倒及牙」,患者的下顎牙骨及下顎牙齒在咬合時均沒有問題,相反,他們因為天生有部分門牙牙齒提早脫落,導致上下顎門牙在咬合時容易出現類似倒及牙的情況。
一招可以分辨真、假倒及牙?
如患者懷疑自己出現倒及牙時,不妨可以做以下動作測試自己是否真的有倒及牙。患者可以微微張開咀巴,將舌頭向後捲,捲至最盡頭時咬合牙齒,如果上下門齒可以觸碰對方時而在側面看時亦沒有出現「鞋揪面」,此時患者很有機會患有「假倒及牙」。相反,如果咬合牙齒時上下門齒可未能觸碰彼此,而側面看亦「鞋揪面」時,好大機會患有「真倒及牙」,此時應及早求醫作檢查,特別是當家長發現兒童出現類似情況時,大約可於7歲時求醫,醫生會為患者拍攝X光及作檢查,以確認患者倒及牙的種類。
倒及牙治療方法
在眾多倒及牙的類別當中,「顎骨性倒及牙」屬最難處理的類別,難以透過箍牙改善問題,很多時候患者都需要透過顎骨修復手術及箍牙才能改善問題。不過,顎骨手術需要待患者在18至20歲左右發育完成才能進行,但並非所有顎骨性倒及牙患者需要做手術,有部分患者亦可透過拔牙、骨釘治療改善咬合問題。至於「牙齒性倒及牙」患者,則可以透過箍牙及拔牙改善問題,但過程亦較複雜。至於「假倒及牙」則較容易矯正,患者可透過簡單箍牙可改善問題。
讓更多朋友看到這資訊 >>
選文:Tammy 編審:星Sir
醫護研習組
醫護研習組
相關文章所提供的資料及相關醫護資訊,
只作一般性參考用途,並不能取代醫生會面診斷之效果。
如有身體不適請即求診,切勿延誤治療。
若資料有所漏誤,本網及相關資料提供者恕不負責。
只作一般性參考用途,並不能取代醫生會面診斷之效果。
如有身體不適請即求診,切勿延誤治療。
若資料有所漏誤,本網及相關資料提供者恕不負責。
![]() |
牙冠增長術:改善露牙齦,重拾自信的笑容 |
|---|---|
| 有部分女生從來不敢盡情展現笑容,因為一旦大笑就會露出牙齦牙肉,長遠甚至影響她們的自信心。其實,醫學上是有方法可以改善有關情況,透過....... |
![]() |
傳統牙箍vs隱形牙箍點揀好?箍牙箍一世?牙醫解答4個箍牙迷思 |
|---|---|
| 1. 主要有三種不同的箍牙方法 2. 箍牙方法:傳統牙箍 vs 隱形牙箍點揀好? 3. 完成箍牙後牙齒可以永遠整齊?定或要箍牙....... |
![]() |
牙醫為你拆解5大孕婦必睇牙科迷思 |
|---|---|
| 不少人在懷孕期間都會出現牙齦紅腫及流牙血等口腔問題,但坊間對於孕婦進行牙科檢查都存有眾多迷思,包括懷孕期間究竟能否看牙醫?有傳生一....... |
![]() |
拆解5大常見補牙物料優缺點及補牙後護理貼士 |
|---|---|
| 補牙是牙科其中一個較為常見的治療方案,主要適用於輕、中程度的蛀牙情況,防止牙齒組織繼續受破壞,同時我們亦可以透過補牙恢復牙齒的形狀....... |
![]() |
植牙手術風險、成敗因素及補救方法 |
|---|---|
| 植牙技術在近年成為了其中一個常見的缺牙治療方案,但不少病人都誤以為接受植牙手術後重新擁有健全的新牙齒,從此一勞永逸。其實植牙手術後....... |
相關文章所提供的資料及相關醫護資訊,
只作一般性參考用途,並不能取代醫生會面診斷之效果。
如身體不適請即睇醫生,切勿延誤治療。
如資料有誤本網及相關資料提供者恕不負責。
只作一般性參考用途,並不能取代醫生會面診斷之效果。
如身體不適請即睇醫生,切勿延誤治療。
如資料有誤本網及相關資料提供者恕不負責。













更多
即時提問 ?
