頸椎病變的成因及症狀
頸椎前路椎間盤切除及椎體融合手術(Anterior Cervical Discectomy and Fusion,ACDF)是以外科手術來治療頸椎的病變問題。導致頸椎病變多是因退化性、勞損性或意外受傷造成。病變會發生在頸椎間盤、頸椎的小面關節,或是頸椎體骨。由於頸椎中央包含了負責控制我們四肢、軀幹及大小便的中樞神經,所以頸椎病人除了有頸椎不穩定的症狀外,亦會有神經受壓的病徵。頸椎不穩定會引起肌肉繃緊、頸背痛、膊頭痛及頭痛。而神經受壓會令感官神經及運動神經功能失調,病人會有手腳神經麻木痺痛、肌肉無力、平衡失調、行路不穩、小便頻密、夜尿及便秘情況。此外反射神經及交感迷走神經的功能失調,亦會導致病人頭暈、耳鳴、腸胃不適甚至情緒不穩定。
個案分享
55歳的陸先生是位工程師,在2016年11月來求診,兩年來他手部麻木痺痛,尤其是右手拇指及二指,後來更出現手部乏力、走路時腳軟無力的情況。兩年來看了不同科的西醫及中醫,亦接受了物理治療及脊醫的保守治療。臨床的神經反射檢查顯示陸先生有頸椎中樞神經嚴重受壓的可能,隨後的磁力共振醫學造影確診了頸椎第四、五及第五、六節出現嚴重退化及椎間盤突出,而且嚴重壓向脊髓中樞神經,脊髓神經有變形、扁平及水腫現象。(見圖一)
由於病情嚴重,筆者建議陸先生進行根治的頸椎神經減壓及椎體固定手術。可是他在徵詢親友意見後,擔心手術會有神經損傷而致四肢及下身癱瘓的風險,所以拒絕做手術,而選擇繼續使用之前的保守治療。可是陸先生的病情每況愈下,連用手揸筆及用筷子進食都有難度,亦有幾次失足跌倒導致頭部受傷的意外。他頸椎的問題是計時炸彈,只要頸椎再有輕微受傷就會令脊髓中樞神經永久損傷,面臨四肢永久癱瘓的風險,這個計時炸彈必須儘快移除。
陸先生最後聽從筆者的醫學意見,入院進行了四小時的神經外科微創手術──頸椎前路椎間盤切除及椎體融合術,手術目的是為脊髓中樞神經減壓及鞏固頸椎的穩定性。手術後陸先生臥床休息一晚,第二天早上他發現四肢已經沒有麻木痺痛的感覺,四肢肌肉力度亦有明顯改善。在筆者的監察下他下床走動,發覺雙腳站立地面上時的感覺比手術前實在而且穩健得多,走起路來雙腳力度及步履明顯進步同時相當平穩。從X-光及磁力共振觀察,頸椎第四、五及第五、六節脊髓受壓程度已大大改善。(見圖二)陸先生當天下午,即手術後24小時便出院回家了。
陸先生最後聽從筆者的醫學意見,入院進行了四小時的神經外科微創手術──頸椎前路椎間盤切除及椎體融合術,手術目的是為脊髓中樞神經減壓及鞏固頸椎的穩定性。手術後陸先生臥床休息一晚,第二天早上他發現四肢已經沒有麻木痺痛的感覺,四肢肌肉力度亦有明顯改善。在筆者的監察下他下床走動,發覺雙腳站立地面上時的感覺比手術前實在而且穩健得多,走起路來雙腳力度及步履明顯進步同時相當平穩。從X-光及磁力共振觀察,頸椎第四、五及第五、六節脊髓受壓程度已大大改善。(見圖二)陸先生當天下午,即手術後24小時便出院回家了。
何謂「頸椎前路椎間盤切除及椎體融合術」
在全身麻醉後經由X-光導引,手術一般需要進行三至四小時。在顯微鏡下,腦神經外科醫生會在病人頸部沿着頸紋開一個二至三厘米的小傷口,然後小心翼翼地為中樞神經和頸椎神經減壓,移除病變的椎間盤和骨刺。在保護神經的大前提下,腦神經外科醫生會全程使用顯微鏡,用其熟練的手指及配合精巧細緻的神經外科儀器,以少於兩毫米的幅度和準繩度在顯微鏡下做手術,來確保脊髓中樞神經和周邊的頸椎神經得到充分的保護和減壓。之後醫生就會植入人工椎間盤去填補上下兩節椎體之間的空隙,達到穩定頸椎的作用。
相較於ACDF這種新式手術,以往的非微創傳統手術是不採用顯微鏡的,醫生亦只會用病人本身盆骨的一小塊骨頭去填補兩節頸椎體之間的空隙,以達至穩定頸椎及融合的效果,但病人就要承受盆骨上額外傷口的痛楚,再者在頸椎慢慢融合之前,病人亦要佩戴三個月硬頸箍來確保頸椎的穩定。
相較於ACDF這種新式手術,以往的非微創傳統手術是不採用顯微鏡的,醫生亦只會用病人本身盆骨的一小塊骨頭去填補兩節頸椎體之間的空隙,以達至穩定頸椎及融合的效果,但病人就要承受盆骨上額外傷口的痛楚,再者在頸椎慢慢融合之前,病人亦要佩戴三個月硬頸箍來確保頸椎的穩定。
人工椎間盤的種類及作用
前面提到手術時會植入人工椎間盤,人工椎間盤的發明是為了配合顯微鏡的微創神經外科手術,以省卻病人在傳統手術中盆骨上的額外傷口。特別一提,人工椎間盤可立即穩固病人的頸椎,而免除佩戴三個月硬頸箍帶來的不便。人工椎間盤可分為
活動式或非活動式兩種:
非活動式人工椎間盤
是由合成強化塑料、人造骨,和鈦金屬縲絲結合而成。人工椎間盤裏的人造骨粉六個月內就會刺激病人自己本身的骨頭增生,繼而將上下兩節頸椎體骨融合在一起,來增強頸椎的穩定性。人工椎間盤鈦金屬縲絲的部分亦即時起了穩固頸椎的作用,所以病人無需要佩戴硬頸箍。
活動式人工椎間盤
是由合成強化塑料、強化瓷料和鈦金屬結合而成。由於是活動式,所以上下兩節頸椎並沒有融合,而是繼續享受彈性活動。
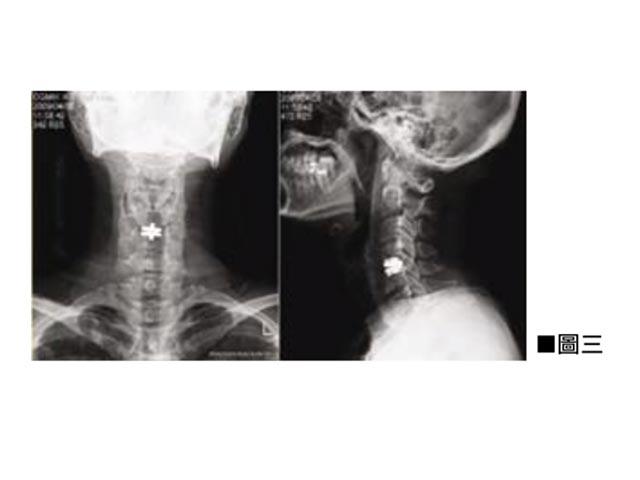
手術前醫生會和病人商討,根據病人的病情和需要來決定做手術的頸椎節數,和選擇固定式又或是非固定式的人工椎間盤。一般而言如果病人頸椎因為不穩定而導致頸痛或頭痛,又或者其脊髓中樞神經已經嚴重受壓而出現病變,非活動式的就是首選,可根治不穩定的痛症及免卻脊髓日後繼續受損的可能性。如果需要做多過一節的頸椎手術,例如牽涉三節頸椎,醫生可能建議其中一至兩截用活動式人工椎間盤,其餘用非活動式,這樣一來既可以維持頸椎的穩定性,亦可以得到相當程度的頸椎活動彈性。(見圖三)
活動式或非活動式兩種:
非活動式人工椎間盤
是由合成強化塑料、人造骨,和鈦金屬縲絲結合而成。人工椎間盤裏的人造骨粉六個月內就會刺激病人自己本身的骨頭增生,繼而將上下兩節頸椎體骨融合在一起,來增強頸椎的穩定性。人工椎間盤鈦金屬縲絲的部分亦即時起了穩固頸椎的作用,所以病人無需要佩戴硬頸箍。
活動式人工椎間盤
是由合成強化塑料、強化瓷料和鈦金屬結合而成。由於是活動式,所以上下兩節頸椎並沒有融合,而是繼續享受彈性活動。
手術前醫生會和病人商討,根據病人的病情和需要來決定做手術的頸椎節數,和選擇固定式又或是非固定式的人工椎間盤。一般而言如果病人頸椎因為不穩定而導致頸痛或頭痛,又或者其脊髓中樞神經已經嚴重受壓而出現病變,非活動式的就是首選,可根治不穩定的痛症及免卻脊髓日後繼續受損的可能性。如果需要做多過一節的頸椎手術,例如牽涉三節頸椎,醫生可能建議其中一至兩截用活動式人工椎間盤,其餘用非活動式,這樣一來既可以維持頸椎的穩定性,亦可以得到相當程度的頸椎活動彈性。(見圖三)
首要任務是保護中樞神經
總結來說,腦神經外科醫生的首要任務是保護中樞神經,相比起腦科手術(醫生要在顱底的腦幹、微細如頭髮般的中樞神經線,和腦動脈血管之中的狹小空間來做手術),微創的頸椎神經外科手術是相當安全和低風險的。醫生會根據病人的病情來計劃最妥善安全的醫療方案,以求根治病人的症狀及移除位於頸椎的計時炸彈,幫助病人儘快康復重享正常生活和工作。
讓更多朋友看到這資訊 >>
選文:Tammy 編審:星Sir
醫護研習組
醫護研習組
相關文章所提供的資料及相關醫護資訊,
只作一般性參考用途,並不能取代醫生會面診斷之效果。
如有身體不適請即求診,切勿延誤治療。
若資料有所漏誤,本網及相關資料提供者恕不負責。
只作一般性參考用途,並不能取代醫生會面診斷之效果。
如有身體不適請即求診,切勿延誤治療。
若資料有所漏誤,本網及相關資料提供者恕不負責。
![]() |
低頭族與頸椎神經病變的奇特症狀 |
|---|---|
| 之前寫過有關於微創神經外科頸椎手術的前路方法或後路方法的相關文章,這次將詳細談談頸椎 病變的症狀,以便讀者更加了解這種如今非常普遍....... |
![]() |
可致命的頭痛(上篇) |
|---|---|
| 相信很多人也有頭痛的經驗,都市人壓力大,或是患上感冒發燒,頭痛都是常見的症狀。很多人吃 了止痛藥後就不再理會它,然而這種看似平常的....... |
![]() |
磁力共振檢查 清楚照出腦部、脊椎病症 |
|---|---|
| 人體的神經系統由腦部、脊椎、神經元、神經膠原及神經纖維組合成神經細胞網絡,十分龐大而複雜。有腦部或中樞神經疾病,常出現頭痛、頭暈、....... |
![]() |
別忽視腦部及頸椎發出的警號(上篇) |
|---|---|
| 人體的神經系統是由腦部、脊椎,以及遍佈全身數以百萬計的神經元、神經膠原和神經纖維所組合而成的神經細胞網絡,非常複雜。頭痛、頭暈、肢....... |
![]() |
腦動靜脈畸形血管瘤的治療(下篇) |
|---|---|
| 延續上一期專欄關於腦動靜脈畸形血管瘤(Cerebral Arteriovenous Malformation - AVM)的成因及....... |
相關文章所提供的資料及相關醫護資訊,
只作一般性參考用途,並不能取代醫生會面診斷之效果。
如身體不適請即睇醫生,切勿延誤治療。
如資料有誤本網及相關資料提供者恕不負責。
只作一般性參考用途,並不能取代醫生會面診斷之效果。
如身體不適請即睇醫生,切勿延誤治療。
如資料有誤本網及相關資料提供者恕不負責。












更多
即時提問 ?
