[ 會員#24796 ] Siumeimei
心急!請問這是口腔癌症狀嗎?!
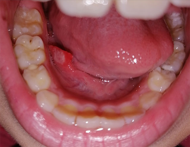
何家強醫生回覆: [ 02/12/2020 ]
您好,
只是一般的口水腺發炎。
kkho
只是一般的口水腺發炎。
kkho
以上資料只供參考,不能作診症用途,
請與家庭醫生查詢並作出適合治療。
如有身體不適請即求診,切勿延誤治療。
若資料有所漏誤,本網及相關資料提供者恕不負責。

請與家庭醫生查詢並作出適合治療。
如有身體不適請即求診,切勿延誤治療。
若資料有所漏誤,本網及相關資料提供者恕不負責。

Jason : 龜頭炎
病患者男 - 41歲 何醫生你好 我在12月初睇過你, 當時係因為我在之前都大半年龜頭炎反覆發作, 主.......P : 查詢面部囊腫切除手術
病患者女 何醫生你好,我面頰近鼻位置有一粒看似暗瘡的紅粒,約 5mm,大約已有 3–4 年。平時不痛,但.......chan : 不明生殖器白色點(似痱茲)
病患者男 - 36歲 何醫生,你好, 上年3月左右睇過你, 尿道炎及開了 7日doxycycline .......Vincentwong : 疱疹
病患者男 - 29歲 我是你的病人之前曾光顧過性工作者, 有無套口交和有套性交, 性交後馬上感到有疼痛,.......Chris : 龜頭炎過後
病患者男 - 22歲 龜頭炎過後一小部分的皮膚還是較正常淺紅一點點,還,還有現在皮膚有點滑和皺皮,會回復.......so : 陰莖部位生瘡
病患者男 - 24歲 陰莖根部同生陰毛之間既位置生咗粒好似暗瘡既物體,本身不痛不癢,但過2日後就腫咗,好.......Kk8654 : 龜頭上白點
何醫生你好,請問這都是正常嗎? **附有網絡私隱圖片不便公開.......Kk8654 : 有點痕好似蚊咬
何醫生你好 請問這是甚麼?有點痕好似蚊咬 無濃 **附有網絡私隱圖片不便公開.......Lammmmm : 舌頭生瘡
病患者女 - 23歲 最近發現舌右外側及口腔右邊外壁有白色凸出水泡(發現至今一週),昨天感到舌頭疼痛,發.......Lamlam123 : 疱疹一型/二型igm test
我想問一下herpes igm test能否分辨感染是否屬於一型或是二型? 如果herpes 2 igm t....... 發出提問使用細則
致何家強醫生 提問




其他何家強醫生醫務信箱回覆
即時提問 ?


