白內障在本港相當普遍,常見於長者人士,傳統觀念是必需等待白內障完全成熟才進行開刀鏠線,約三至四個月才能康復。但最怕是在「等熟」期間、視力模糊,甚至伸手不見五指,影響日常工作與生活,言而現今已有更為有效的處理方法作選擇,那為什麼還要受這不必要的苦?因此,編審星sir帶我們去走訪一趟眼科專科陳凱怡醫生,好讓大家能對白內障有更新更全面的了解。
白內障其實是怎樣形成?
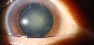
眼睛內的晶體就像照相機中的鏡頭原理一樣,能把影像清晰地聚焦在眼底。晶體本是晶瑩通透的,但若然當它變得渾濁時,影像便會變得模糊不清。
晶體是由水和蛋白纖維所組成。蛋白纖維是以特定的模式作排列,使晶體清晰及容許光線穿透。當年紀漸大,或接觸到某些特定危險因素,蛋白纖維便會開始退化,並且聚成一團,使晶體變得混濁,遮蔽眼睛視力,形成白內障。
白內障是否要等到熟了再開刀比較好?
經常會聽到白內障患者詢問類似問題,其實這是一個傳統錯誤的觀念,因為患上白內障而變得混濁的水晶體,當它成熟時會比較腫脹,可能會阻塞眼內房水的流通而導致眼壓上升,更有可能演變成青光眼。
眼球晶體在過熟的情況下,手術治療的困難度將會大大增加。眼科專科陳凱怡醫生指出,傳統白內障手術,傷口一般達到12至15mm,因為要將已熟的晶體擠壓出來,無可避免令傷口增大,恢復時間因而比較慢,於是部份害怕動刀的患者,經常抱著拖得就拖的心態,等到白內障已經熟透、視力模糊,甚至伸手不見五指時,才考慮做白內障手術。
眼科手術中心進行或醫院進行上列手術有何分別?
Joan :
母親現年69歲,兩眼均患有白內障,左眼視力為0.6,右眼視力為0.2.8做了光學相干斷層掃描(黃斑及神經纖維層)驗查後發現黃斑拉扯,眼科醫生給了<微創黃斑前膜手術>及<微創白內障超聲乳化手術>的剪報及兩份手術需知的資料,手術1為白內障;手術2為玻璃體切除手術,並建議兩項手術一併進行,先做較嚴重的右眼,在眼科手術中心進行.請問手術2玻璃體切除是否屬於高難度/複雜手術?兩項手術同時進行有否危險?(因有醫生建議兩個手術分開進行),於眼科手術中心進行或醫院進行上列手術有何分別?
通常來說兩種手術可同一時間進行。手術屬複雜類,需視網膜科醫生進行玻璃體切除及黃斑前膜撕除手術。手術可全身或局部麻醉進行而於手術中心或醫院進行則視乎病人選擇、需不需要全身麻醉(如病人未能充份合作)或保險所需而定。如黃斑拉扯未造成視野扭曲,複視等則可只做白內障手術。
星sir很有興趣知道,其實現時最有效的治療白內障方法是怎樣?
目前治療白內障使用的新式手術為「微創超聲波乳化白內障切除手術」,在眼角膜附近做一個只約2mm的微切口,用超聲波技術將混濁晶體分解並吸出,再從微切口植入多焦距、散光或單焦距人工晶體,毋須像傳統舊式手術般切開眼球一半。傷口較小、手術時間較短,如此微細的傷口,幾乎完全不需要縫線,所以發炎及併發症的風險比較低。
患者於翌日已可回復一定的視力,另配合不同類型的人造晶體,更可同時解決近視、散光及老花等問題。
到底何時才是白內障手術的適當時機?
陳醫生表示,這關乎個人的生活需要而定,新一代的超聲波白內障手術已能治療任何階段的白內障,而無須等待白內障「熟透」。其實白內障在完成手術後是不會再復發的,正常情況下,一生人每隻眼睛理應只需要進行一次白內障手術。現在更能借助微創超聲波乳化的技術,只要覺得視力矇糊,就可以選擇以此項手術作治療。
在此,建議各位白內障患者「病向淺中醫」,如發現視力減退至影響日常生活時,不妨諮詢眼科醫生的意見,看看是否適合進行手術治療,重塑清晰視力,繼續享受精彩人生。
有關:
陳凱怡醫生
白內障
的診療事宜有任何疑問
相關專業團隊隨時為你作解答安排
以上資料只供參考,不能作診症用途,
請與家庭醫生查詢並作出適合治療.
如身體不適請即睇醫生,切勿延誤治療。
如有錯漏請提出糾正,我們會盡快跟進,
本站恕不會負任何責任
白內障(Cataract)
是一種常見的眼科疾病,主要與晶狀體老化有關,隨著年紀增長,患病的機會亦會增加。不過,其他因素包括深度近視、長期在猛烈陽光下活動及工作、糖尿病以至藥物等,都有機會導致白內障,任何年齡的人士其實亦有可能罹患。
白內障未熟不能做手術?
錯。所謂「熟」,是指白內障發展到成熟期,整個晶體變成白色,屆時視力嚴重受損,更有機會出現虹膜炎、青光眼等其他眼疾。
白內障是老人病,只有長者才會患上?
年紀大、眼球晶體退化,的確是白內障最主要成因,不過近年發現,一些約四十歲人士亦開始患上白內障。
白內障手術受細菌感染風險很大?
機率較低,據文獻資料記載,每一萬宗個案約有一個可能曾受細菌感染,但只需於一兩天內作醫治處理便無大問題。
醫生說還不可以做手術
JoneMo : 我爸爸已有白內障一年了, 看東西已不清楚, 但醫生說還不可以做手術, 請問醫生為什麼呢? 是不是可以用超聲波來醫治?
你應該問你的醫生為甚麼說不可以做手術,他最清楚的了,不應該問其他人。可能是平衡好處和害處後,認為末值得做手術呢。近年歐美趨勢是用超聲波把晶體乳化,然後用針把晶體抽出,再放入人工的晶體。這樣的好處是傷口細,併發症少。但有些白內障還是比較適合用傳統手術(ECCE)。香港亦有很多眼科醫生做的。
經常眼倦,看東西不清化開
Sherry : 家母數年前做了白內瘴手術,不但沒改善,反比前更差,醫生解釋非因白內瘴問題,是家母年紀大,眼部退化,她現時另一隻眼也有白內瘴,醫生說不嚴重,沒有做手術的迫切性,而我們暫也不敢讓她做白內瘴手術...想問醫生,以目前科技,長者視力問題真不能解決?
白內障手術只能解決視力因為白內障而影響的部分,並不能解決他眼疾對視力產生的問題。可否醫治要視乎眼睛患有什麼毛病,如有沒有黃斑病,青光眼等眼疾。
*提問來自於SeeDoctor會員醫務信箱